Alterações na curva de pressão x tempo, em paciente com SARA, em ventilação mecânica protetora: o que fazer?



Última atualização: Segunda, 23 de Dezembro de 2019, as 14:03

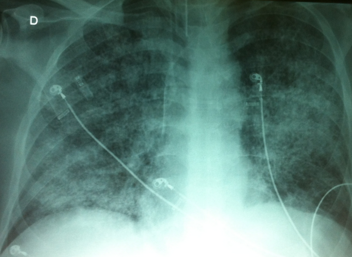
Um médico intensivista tentava otimizar os ajustes da ventilação mecânica em um paciente de 66 anos, com diagnóstico de sepse e Síndrome da Angústia Respiratória Aguda, intubado há 8h, com o Raio-X de tórax abaixo:

Raio-x de tórax em AP evidenciando opacidades intersticiais e alveolares bilaterais.

O paciente tinha um peso ideal de 65kg, usava um volume corrente de 390ml (6ml/kg), no modo de ventilação ciclada a volume com fluxo constante (quadrado).

Encontrava-se sedado, com um RASS de -5. Gaso pH: 7,24, PaCO2: 50mmHg, PaO2: 81mmHg com uma relação PaO2/FIO2 de 133, PEEP: 12cmH2O.

No exame físico percebia-se o uso de musculatura respiratória.

Observou-se os seguintes achados na curva pressão x tempo na tela do ventilador:

Qual conduta seria a mais recomendável, dentre as opções abaixo ?

a) Observação
b) Bloqueio neuro-muscular
c) Aumento da dose de sedativos
d) Mudança para modo de ventilação com pressão controlada – PCV



Para continuar a leitura...

Você deve possuir uma assinatura ativa da plataforma xlung

Caso já seja um assinante, faça Login no topo da página, ou adquira já a sua assinatura

Assine já